Save up to £1,810 on Invisalign® treatment, enjoy a free 3D Smile Simulation, and more, all during our special Open Day event! Get Your Perfect Smile – Schedule Your Consultation Today!

*T&C apply, special offer and discount valid only for date of 5th July 2025

Save up to £1,810 on Invisalign® treatment, enjoy a free 3D Smile Simulation, and more, all during our special Open Day event! Get Your Perfect Smile – Schedule Your Consultation Today!

*T&C apply, special offer and discount valid only for date of 5th July 2025

Invisalign® Open Day at Woods Dental – One Day Only, 29th March 2025!

Save up to £1,400 on Invisalign® treatment, enjoy a free 3D Smile Simulation, and more – all during our special Open Day event!

*T&C apply, special offer and discount valid only for date of 29th March 2025

Where Stunning Smiles Begin

Invisalign® Open Day Offers Await!
5th July 2025

Lock in the date 5th July 2025 for your smile transformation. Join us at The Houston Group of Dental Practices @ Nailsea Invisalign® Open Day to start your journey towards a flawless, confident smile. Enjoy exclusive, limited-time offers and receive personalized, expert-led consultations designed to create a smile that’s uniquely yours.

Save up to £1,810

Complimentary Consultation & 3D Smile Simulation

Free Professional Teeth Whitening

What's included in  the package?

  • Prices Starting from £2,900 – Save up to £1,400! 
  • Complimentary Consultation & 3D Smile Simulation (Worth £200). 
  • Free Professional Teeth Whitening (Valued at £425). 
  • Free Retainers (Worth £300) + Save £400 on Bonded Retainers (if suitable). 
  • 1-Year Follow-Up Appointments (Valued at £158). 

Flexible Payment Options:

  • 0% Interest: From £241.66/month over 18 months. 
  • Low APR Plan: From just £94.46/month over 36 months at 11.9% APR. 

What's Included In The Offer?

Save Upto £1,810

Treatment Starting from – £2900 

Free Professional Teeth
Whitening

Valued at £500

Free Retainers

Worth £500

Complimentary Consultation & 3D Smile Simulation

Worth £200

Save £400 on Bonded Retainers

If Suitable

1-Year Follow-Up
Appointments

Valued at £210

Flexible Payment Options:

  • Start with £241.66/month – 12-month, 0% interest plan
  • Start with £92.13/month – 36-month plan at 9.9% APR 

*T&Cs apply. Flexible finance options are subject to eligibility and individual circumstances

Fill the Form to
Book Your Free Consultation

Your Invisalign® Journey
Starts Here

With savings up to £1,810*, now is the perfect time to take the first step toward the smile you have always wanted.

For whom is this
Invisalign Open Day?

Your Invisalign® Journey
Starts Here

With savings up to £1,810*, now is the perfect time to take the first step toward the smile you have always wanted.

Fill the Form to
Book Your Free Consultation

What Sets Us Apart

Advanced Technology

For precision and comfort

Highly Skilled Dentists

Specialized in teeth straightening with multiple years of experience

Rated 4.2 Stars on Google

Trusted by patients for Exceptional Dental Care

Friendly Hygienists

Focused on your comfort and long-term care

Free Parking On Premises

For our patients, including those with unique needs

Advanced Technology

For precision and comfort

Highly Skilled Dentists

Experts in teeth straightening with multiple years of experience

Rated 4.2 Stars on Google

Trusted by patients for Exceptional Dental Care

Friendly Hygienists

Focused on your comfort and long-term care

Free Parking On Premises

For our patients, including those with unique needs

For whom is this Invisalign® Open Day?

Why Invisalign® is the #1 Choice for Smile Transformation

  • Virtually Invisible: Straighten your teeth discreetly without anyone noticing.
  • Comfort & Convenience: Aligners are smooth, comfortable, and removable for eating and cleaning.
  • Precise & Predictable: Advanced digital technology ensures a tailored treatment plan for optimal results.
  • Fast Results: Enjoy noticeable changes in as little as 6 months for certain cases.
  • Custom Fit: Each aligner is uniquely crafted to fit your teeth perfectly.
  • Fewer Dental Visits: Requires fewer check-ups compared to traditional braces, saving you time. 
  • No Food Restrictions: Enjoy all your favorite foods without worrying about damaging brackets or wires.
  • Improved Oral Hygiene: Easily remove aligners for brushing and flossing, promoting better dental health.
  • Comfort & Convenience: Aligners are smooth, comfortable, and removable for eating and cleaning.
  • Precise & Predictable: Advanced digital technology ensures a tailored treatment plan for optimal results.
  • Fast Results: Enjoy noticeable changes in as little as 6 months for certain cases.
  • Custom Fit: Each aligner is uniquely crafted to fit your teeth perfectly.

Why Invisalign® is the #1 Choice for Smile Transformation

  • Virtually Invisible: Straighten your teeth discreetly without anyone noticing.
  • Comfort & Convenience: Aligners are smooth, comfortable, and removable for eating and cleaning.
  • Precise & Predictable: Advanced digital technology ensures a tailored treatment plan for optimal results.
  • Fast Results: Enjoy noticeable changes in as little as 6 months for certain cases.
  • Custom Fit: Each aligner is uniquely crafted to fit your teeth perfectly.
  • Fewer Dental Visits: Requires fewer check-ups compared to traditional braces, saving you time. 
  • No Food Restrictions: Enjoy all your favorite foods without worrying about damaging brackets or wires.
  • Improved Oral Hygiene: Easily remove aligners for brushing and flossing, promoting better dental health.

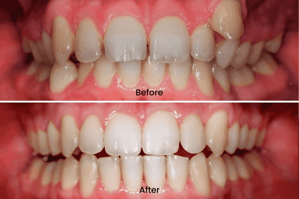
Invisalign® Before and After

Instant smile stimulation with iTero

Experience the future of smile transformations with the iTero scanner! Imagine previewing your perfect smile before starting treatment. Advanced 3D technology provides a detailed, accurate model of your new smile. You will be amazed at how precisely we can plan your journey. The results are so impressive, you will be bound to say “Wow!” to perfect your smile with us. Be ready to see your future smile in stunning detail. Book your consultation today and let us show you how incredible your smile can be!

Instant smile stimulation with iTero

Experience the future of smile transformations with the iTero scanner! Imagine previewing your perfect smile before starting treatment. Advanced 3D technology provides a detailed, accurate model of your new smile. You will be amazed at how precisely we can plan your journey. The results are so impressive, you will be bound to say “Wow!” to perfect your smile with us. Be ready to see your future smile in stunning detail. Book your consultation today and let us show you how incredible your smile can be!

Invisalign® Open Day Saturday 5th July 2025

For Other Locations: Clevedon | Hamgreen | Weston Supermare

Copyright © 2025 The Houston Group - Nailsea

Scroll to Top

Get Notified for Upcoming Open Day

Location: Nailsea | Clevedon | Weston Supermare